診療科目

Medical

ALL on 4オールオン4

私たちの口腔は、日常生活の中で食事を始めとするさまざまな役割を果たしています。しかし、様々な原因で歯を失ってしまうことがあり、それが生活の質を下げる原因となることも少なくありません。歯がない(無歯顎:むしがく)の方は意外と多く、10人に1人程度が無歯顎とも言われています。

歯がないと食事やコミュニケーションにも支障を着たします。人生の楽しみの多くが牛割れてしまうと言ってもいいでしょう。

以前は無歯顎になってしまうと入れ歯(義歯)しか治療法がなかったのですが、近年は他の治療法も出てきました。注目されているのが「オールオン4」という治療法です。


オールオン4とは何か?

オールオン4とは、文字通り4本のインプラントを使用して全ての欠損歯をサポートする治療法のことを指します。従来のインプラント治療では、失った歯の数だけインプラントを埋め込む必要がありましたが、この新しい方法では4本のインプラントだけで全ての歯をサポートすることが可能となりました。


オールオン4の具体的な特徴とは?

手術回数の削減:
従来のインプラント治療と比較して、手術回数が大幅に減ります。これにより、患者さんの負担やリスクも軽減されることが期待できます。

治療時間の短縮:
従来の治療よりも期間が大幅に短縮され、早期に普通の生活を取り戻すことが可能です。

高い安定性:
4本のインプラントがしっかりと顎の骨に固定されるため、ブリッジが非常に安定します。


オールオン4の治療の詳細な流れ

1カウンセリング

まず、患者さんの口腔の状態や希望をしっかりと確認します。


2検査

歯科用CTなどを使用して、治療の詳細な計画を立てるための情報を収集します。


3治療計画の策定

収集されたデータをもとに、どの位置にインプラントを埋入するか、どのようなブリッジを使用するかなどの詳細な治療計画を策定します。


4オペ

最先端の技術と機器を使用して、4本のインプラントを埋入します(場合によっては6本になる場合もあります)。この際、患者さんの不安や痛みを最小限に抑えるための工夫も施されます。


5一時的な歯の装着

インプラントが骨としっかりと結合するまでの間、一時的な歯を装着します。この期間は数ヶ月程度を予定しています。


6恒久的な歯の装着

インプラントが骨と完全に結合した後、計画通りのブリッジを取り付けます。これにより、自然な見た目と機能を持つ新しい歯が完成します。


7アフターケア

定期的なメンテナンスやクリーニングを行い、長期間の使用に向けたサポートを行います。


オールオン4のメリットとデメリット

メリット

自然な見た目:ブリッジは天然の歯と変わらない自然な見た目となります。
食事の制限なし:強固に固定されたブリッジのおかげで、硬い食べ物も問題なく食べることができます。
言葉の発音の改善:適切に調整されたブリッジは、言葉の発音を正確にするのに役立ちます。


デメリット

高額な治療費:オールオン4は高度な技術を要するため、費用が高くなる可能性があります。
適用できないケースも:顎の骨の状態や健康状態によっては、オールオン4の治療が適用できないケースも存在します。


オールオン4の成功事例

全世界で多くの患者さんがオールオン4の治療を受けており、その成功事例は数多く報告されています。多くの方が、治療後に食事の楽しさを取り戻し、日常生活やコミュニケーションに自信を持って参加できるようになったと話します。

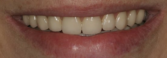
また、見た目の美しさも重要なポイントです。天然の歯と変わらない、またはそれ以上の美しさを手に入れることができ、笑顔で人と接することの喜びを再発見しています。

...
見た目からはインプラントであることをほぼ判別ができません。

他の治療法との違い

オールオン4は多くの利点がある一方で、従来のインプラントやブリッジ、入れ歯とは異なる特性を持っています。

従来のインプラントとの違い

欠損歯の数だけインプラントを埋め込むため、治療時間やコストが増える可能性があります。


ブリッジとの違い

既存の歯を削って支えとするため、健康な歯に負担をかける可能性があります。


入れ歯との違い

安価であり取り外しが可能ですが、安定性や噛み心地に劣ることが多いです。

オールオン4はこれらの治療法の中間に位置し、各治療法の利点を活かしつつ、欠点を最小限に抑えた治療法と言えます。


オールオン4を選ぶ際のポイント

オールオン4を選ぶ際には以下の点を特に考慮するとよいでしょう。

専門的なカウンセリングの有無

まずはしっかりとしたカウンセリングを受けることが大切です。治療の適応、期待する結果、費用など、疑問や不安をすべて解消することが重要です。

...
歯科用CTやシミュレーションソフトを使ってわかりやすく説明します
...
スタッフも親身に患者様の不安に寄り添います

技術と経験

クリニックや歯科医師の技術や経験も非常に大切です。これまでの治療の実績や成功事例を確認しましょう。2010年代にオールオン4は世界的に施術件数が増えたのですが、予後がうまくいかない事例も多く、次第に件数が減っていきました。しかし、2020年代になって状況が改善し、予後もうまくいくようになりました。医療技術は進歩しています。

...
泉田歯科医院ではオペ室を完備しています

アフターケア

治療後のフォローアップやメンテナンス体制も確認しておくと安心です。

まとめ

オールオン4は、歯の欠損に悩む多くの方に新しい選択肢を提供しています。しかし、治療を受ける前には、しっかりとした情報収集と相談が必要です。

歯の健康は、全身の健康や生活の質に直結しています。オールオン4治療を検討することで、より豊かな生活を送る第一歩を踏み出しませんか?

泉田歯科医院では、患者さん一人ひとりの状態や希望に合わせた最適な治療をご提案いたします。是非、お気軽にご相談ください。

  • 電話でのお問い合わせ
  • アクセス
  • WEB初診予約