インプラント治療は、どういった流れで行われるのでしょうか?
このページでは、カウンセリングから手術まで、インプラントの流れをご紹介いたします。
患者がインプラント治療を望む理由を伺い、治療の流れから、治療内容、治療後のケアにいたるまで、詳しく説明します。
虫歯、歯周病の検査を行います。
ここで、インプラント治療が可能かどうかの判断がなされ、レントゲンなどのデータに基づき治療計画を立てていきます。
治療結果が確実なものとなるように事前に治療を行い、歯石の除去や咬み合わせの治療をします。
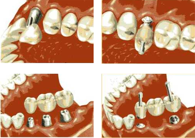
治療計画に基づいた最初のインプラント手術を行います。
1~2本は15分、2~3本は30分程度の時間を要します。
局所麻酔を行った後、骨質にあったチタン製のインプラントを顎の骨に埋入しますので、安全で痛みの無い手術を行うことが可能です。
インプラントと歯がしっかりと固定するまで期間をおきます。
骨の状態によりますが、約3ヶ月の治療期間を置きます。
咬み合わせの状態をチェックし、お口の中でのバランス(調和)が整った時点で型をとります。 色や形を患者さんに合わせて人工歯を作製し、インプラントの上にヘッドをセットします。 その後、上部構造を装着します。
上記の流れ全てで、インプラント治療は一応終了となりますが、インプラントを長持ちさせるには、終了後のホームケアが大変重要です。 指導された正しいブラッシングを行いましょう。 また、インプラント治療後も、最低でも半年に一度の定期健診とアフターケアを続けましょう。 この定期健診を続けることで、インプラントを長く使う事が可能になります。
インプラントの手術は大きく分けて1次手術、2次手術に分けられます。




1次手術が終わってから2~4か月、長い場合は6ヶ月後に、2次手術を行います。





カラー3D画像CT トロフィー・パンプラス(通称トロパン、フランス製)を備え付けています。
より一層、正確な診断と、より正確なインプラント治療を目指すためです。
(CTとは、コンピューター断層撮影の略で、レントゲン装置とコンピューターを使ってお口の中を輪切り状態で(断面画像)見ることができる装置です)。
インプラントをするにあたり、骨の厚み、密度、また動脈や神経の走行を把握しておくのは とても重要です。
CTはこれらの要望にすべて答えてくれます。 安心・安全のためCTは必需品です。
被爆線量の問題ですが、医科用CTと比較して約1/10の被爆量で、画像解析度も約2倍あり、安心して使用できます。
医療の一番大きな問題は正確な診断であり、CTはこの診断力を大きく上げてくれます。
(今のところ、より多くのひとたちにその恩恵を享受していただきたいので、しばらくは無料で撮る予定です)。
