インプラント

Implant

Policyインプラントとは?

不幸にして歯を失ったあなたへ

決して落胆することはありません。 失った歯とまったく同じ様に噛むことのできる方法があります。

そう、インプラントです。

インプラントとは、英語で「植立する」という意味です。 歯を失った顎の骨に人工の歯根を植え込み、その人工歯根の上に人工の歯を取り付ける方法です。

当医院は、予防歯科医院をめざしており、常に以下の考えを持って治療にあたっています。

  • 自分の歯を長持ちさせるにはどうすれば良いか?
  • 一生自分の歯で食事するには何が大事なのか?

これらの答えの一つがインプラント治療だと考えています。


他治療方法との比較

下の図を見てください。

                 

一本の歯を失った場合、治療方法は入れ歯、ブリッジ、インプラントの3つしかありません。

入れ歯にした場合、隣の歯に金具(バネ)をかけなければなりません。

ブリッジにした場合、隣の歯を削ってかぶせなければなりません。
まったく健康な歯を削ってしまうのです。

これらと比較してインプラントは、歯の抜けたところに人工の歯を植え込みます。 そうです、隣の歯を守ることができるのです。

歯は削れば削るほど弱っていきます。 いかに自分の歯を削らないようにして治療するか? その答えがインプラントなのです

インプラントは、自分の歯とまったく同じ様に、しっかりと噛むことができます。

インプラント植立して、上顎なら4か月、下顎なら3か月で歯をかぶせることができます。
しかし、すべての人にできるわけではありません。
内科的な疾患のある方、特に糖尿病や心疾患、高血圧の方では、インプラントできない場合があります。
顎の骨が薄くなり、新たに人工的に骨を作らねばならない場合、またそれでもインプラントできないケースもあります。

インプラントの成功率は、約97%です。
100本植立すれば、2~3本はうまくいかない場合があります。
インプラントの材質チタンが骨とひっつかない場合があるのです。
様々な原因がありますが、喫煙もその大きな原因のひとつです。

インプラントは保険がききません。
一本約30万円です。
人工的に骨を作る場合など、ケースによって費用のかかる場合があります。

わたしは、金額はけっして高いとは思いません。
なぜならインプラントすることにより、他の歯を守ることができ、歯を失う前の状態に戻すことができるからです。

歯を失っても、インプラントし、自分の歯とまったく同じ様に、旅先で美味しいものを食べられる。
すばらしいと思いませんか?

インプラントは、あなたが今後の人生をより豊かに、より充実したものにするには欠かすことのできない治療法です。

予防歯科を推進する私たちにとって、インプラントは、フッ素、キシリトール、ブラッシング、定期検診と並ばなくてはならない治療法です。


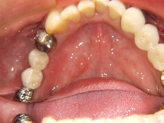
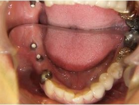
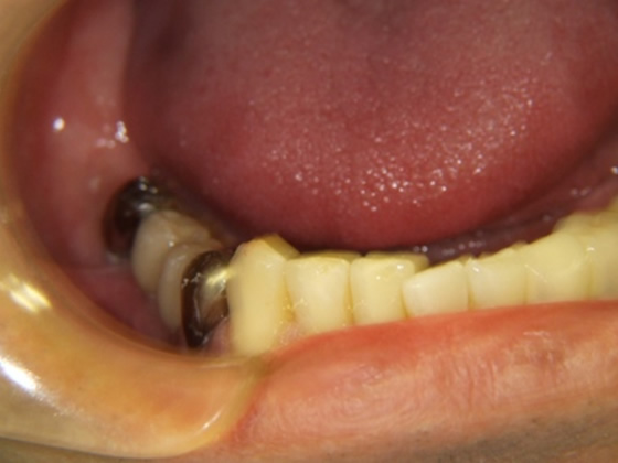
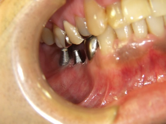
実例

50歳代 男性 右下臼歯部 インプラント植立

インプラントを埋め込んだところ(上から)
インプラントを埋め込んだところ(横から)
セラミック冠を装着したところ(上から)
セラミック冠を装着したところ(横から)

治療説明

施術名 インプラント治療
施術の説明 人工の歯の根を埋入し、その上にかぶせものを入れて機能回復を図ります。
施術の副作用・リスク 痛み・咬合時痛・冷温水痛・抜歯する場合は腫脹や出血や神経麻痺などを生じる事があります。麻酔を行う場合、アナフィラキシーショックを生じるリスクがあります。セラミック・仮歯が欠けたり、外れる事があります。
施術の価格 保険適用外(こちらをご覧ください)
  • 電話でのお問い合わせ
  • アクセス
  • WEB初診予約